
Before & Afters
Real Patient Transformations
Changing Lives, One Smile At A Time
Tooth Gems

Tooth Gems

Tooth Gems

All porcelain crowns


Porcelain Crowns


Porcelain Crowns
.webp)
.jpg)
Porcelain Veneers & Crowns
A Sparkling Smile
%20(1).webp)
%20(1)%20(1).webp)
A 65-year-old woman who was always afraid to smile because of her discolored teeth. Within two weeks and less than two hours in the chair, we gave her the smile she has waited decades for.
Porcelain Veneers & Crowns
A Sparkling Smile


Multiple porcelain veneers and crowns transformed 58-year-old Mrs. G’s dark and mismatched teeth to a smile she has wanted her whole life. She told us her friends and family love her new smile and are asking how they can also improve their smile.
Veneers - Upper & Lower
Renewed Confidence


Porcelain veneers and orthodontics helped this 29-year-old man be able to smile again and regain his confidence. He lived with fractured teeth for years following a major auto accident.
Invisalign
Bright and Confident


10 months of Invisalign is all that was needed for this 35-year-old mother of 2 to achieve the smile and bite she always wanted. She hated the large spaces and splayed teeth but did not know how to correct them. With Invisalign, we were able to help her smile again.
Porcelain Crowns & Root Canal
The Road to Recovery


This 59-year-old woman was in an accident that broke multiple bones, teeth, and caused lacerations to the face and scalp. In 3 weeks we were able to restore her smile with porcelain crowns and root canal treatment on her front teeth. She is now able to smile and has had a near-complete recovery!
Dental Implant
Bringing A Smile Back


This 60-year-old woman broke her front lateral incisor off at the gum line. We replaced it with a single implant, and her smile looks and feels as good as new!
Porcelain Crowns
Youthful Smile


This 60 year old man has been self conscious about his smile for years, afraid to smile because of his deeply stained and discolored teeth. With all porcelain crowns, we were able to not only remake his smile, but his friends and family commented he looks 10 years younger with his brighter smile.
Porcelain Crowns
Smiling Confidently


This 58 year old woman always hated her discolored and chipped, misshapen teeth. With all porcelain crowns, we were able to give her a whiter, fuller, natural looking smile.
Porcelain Crowns
Smiling Confidently


65 year old woman broke her front tooth. In 1 1/2 weeks we restored her smile with an all porcelain crown.
Implant & Porcelain Crowns
Smiling Confidently


This 70 year old woman had broken her front teeth many years before but could not afford to fix them and was embarrassed to smile for years. We worked with her and we’re able to replace her broken teeth with 3 all porcelain crowns including 2 implant supported crowns. When she left our office, she could not stop smiling!!!
Porcelain Crowns/Cosmetic Smile Makeover
Smiling Confidently


A 24 Year old man wanted to have an awesome smile. He did not like the spaces, discolorations and shape of the teeth that had been patched by various dentists over the years. In 2 appointments over 2 weeks, we transformed his smile and he left our office ecstatic with his new smile!
Emergency Temporary Crown
Smiling Confidently


Emergency temporary crown done within 24 hours of the tooth breaking.
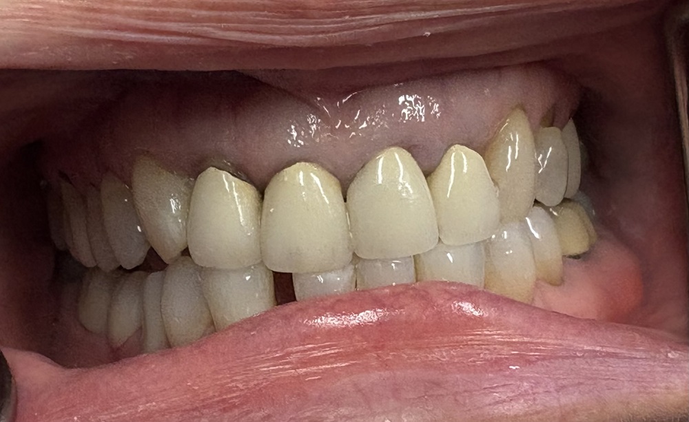
Porcelain Crowns
Smiling Confidently
.webp)

Porcelain crowns on upper teeth to correct misshapen and discolored teeth with large spacing. Treatment took two visits for 55-year-old male.
Porcelain Crowns
All porcelain, non metal crown after tooth fractured


21 year old fractured teeth in a sports accident.



